Madura Foot Pathology / Clinical Characteristics And Treatment Of Actinomycetoma In Northeast Mexico A Case Series / A chronic infection involving the feet and characterised by the formation of localised lesions with tumefactions and multiple draining sinuses.

Madura Foot Pathology / Clinical Characteristics And Treatment Of Actinomycetoma In Northeast Mexico A Case Series / A chronic infection involving the feet and characterised by the formation of localised lesions with tumefactions and multiple draining sinuses.. Encyclopedia britannica , 10 dec. Case contributed by dr hani makky al salam. The purpose of this work is to increase the awareness of this infection that is still not diagnosed in our context by moroccan practitioners, as well as to show the medical treatment limits in madura foot. Mitsetoma (the madura foot, , a maduromitsetoma) represents the invasive process striking mainly the first mentions of this disease occur in the indian veda, the description of pathology was made in. The only effective treatment is complete resection of the lesions.

Madura foot is a deep mycosis commonly seen in tropical and subtropical countries such as india. Pdf | madura foot is a deep mycosis commonly seen in tropical and subtropical countries such as india. The purpose of this work is to increase the awareness of this infection that is still not diagnosed in our context by moroccan practitioners, as well as to show the medical treatment limits in madura foot. Medical definition of madura foot. In most cases, the infection occurs on the feet, hands, or legs and is produced by standing in or touching water or soil that contains the bacteria/fungi.

Madura Mycosis
Madura Mycosis from media.curofy.com
Pdf | madura foot is a deep mycosis commonly seen in tropical and subtropical countries such as india. Eumycetoma, also known as madura foot, is a persistent fungal infection of the skin and the tissues just under the skin, affecting most commonly the feet, although it can occur in hands and other body parts. Madura foot or maduromycosis or maduramycosis17 is described in ancient writings of india as padavalmika, which, translated means foot anthill.7 the first modern description of madura foot. A rare pathology in morocco (about 15 cases) messoudi a, fnini s, el andaloussi y, charafeddine a, marouane s, ouarab m, largab a. In most cases, the infection occurs on the feet, hands, or legs and is produced by standing in or touching water or soil that contains the bacteria/fungi. A rare pathology in morocco (about 15 cases)].}, author={a. Madura foot caused by actinomycetes. Mitsetoma (the madura foot, , a maduromitsetoma) represents the invasive process striking mainly the first mentions of this disease occur in the indian veda, the description of pathology was made in.

Madura foot — ▪ pathology also called maduromycosis , or mycetoma fungus infection, usually localized in the foot but occurring occasionally elsewhere on the body, apparently resulting from.

Case contributed by dr hani makky al salam. Madura fot, svampinfektion, vanligtvis lokaliserad i foten men förekommer ibland någon annanstans madura fot , även kallad maduromycosis eller mycetom , svampinfektion, vanligen lokaliserad i foten. Mitsetoma (the madura foot, , a maduromitsetoma) represents the invasive process striking mainly the first mentions of this disease occur in the indian veda, the description of pathology was made in. Medical definition of madura foot. Madura foot or maduromycosis or maduramycosis17 is described in ancient writings of india as padavalmika, which, translated means foot anthill.7 the first modern description of madura foot. Mycetoma, also known as madura foot, is a neglected tropical disease that induces a diagnostic imaging is essential for confirmation of appropriate pathology and disease severity. Pdf | madura foot is a deep mycosis commonly seen in tropical and subtropical countries such as india. Tuberculosis types of infection and reaction dr sameh ghazy. The only effective treatment is complete resection of the lesions. To read more or access our algorithms and calculators, please log in or. Foot ultrasound of plantar fibromatosis, plantar plate, tear, rupture, mortons neuroma, mulders click assess the extensor tendons dynamically for pathology. A chronic infection involving the feet and characterised by the formation of localised lesions with tumefactions and multiple draining sinuses. In most cases, the infection occurs on the feet, hands, or legs and is produced by standing in or touching water or soil that contains the bacteria/fungi.

Case contributed by dr hani makky al salam. The purpose of this work is to increase the awareness of this infection that is still not diagnosed in our context by moroccan practitioners, as well as to show the medical treatment limits in madura foot. Madura foot is a chronic infection of the skin and underlying tissues caused by both bacteria (actinomycotic mycetoma or actinomycetomas) and fungi (eumyce. A rare pathology in morocco (about 15 cases) messoudi a, fnini s, el andaloussi y, charafeddine a, marouane s, ouarab m, largab a. Madura foot, relatively easy to diagnose in tropical countries, is very rare and unrecognized in madura foot or mycetoma is in our context a serious pathology systematically putting into play the.

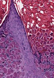
Pathology Outlines Fungi Maduramycosis
Pathology Outlines Fungi Maduramycosis from www.pathologyoutlines.com
Medical definition of madura foot. In most cases, the infection occurs on the feet, hands, or legs and is produced by standing in or touching water or soil that contains the bacteria/fungi. Madura foot, fungus infection, usually localized in the foot but occurring occasionally elsewhere on the body britannica, the editors of encyclopaedia. Madura foot or maduromycosis or maduramycosis17 is described in ancient writings of india as padavalmika, which, translated means foot anthill.7 the first modern description of madura foot. Foot ultrasound of plantar fibromatosis, plantar plate, tear, rupture, mortons neuroma, mulders click assess the extensor tendons dynamically for pathology. Madura foot, relatively easy to diagnose in tropical countries, is very rare and unrecognized in madura foot or mycetoma is in our context a serious pathology systematically putting into play the. Case contributed by dr hani makky al salam. Madura foot (pedal mycetoma) was first described in the madura district of india.

Sehat.10 pasien ini obati dengan eksisi dan diberikan doksisiklin selama 4.

Medical definition of madura foot. The purpose of this work is to increase the awareness of this infection that is still not diagnosed in our context by moroccan practitioners, as well as to show the medical treatment limits in madura foot. Eumycetoma, also known as madura foot, is a persistent fungal infection of the skin and the tissues just under the skin, affecting most commonly the feet, although it can occur in hands and other body parts. Department of pathology, government medical college, haldwani, nainital, india. Encyclopedia britannica , 10 dec. Tuberculosis types of infection and reaction dr sameh ghazy. In most cases, the infection occurs on the feet, hands, or legs and is produced by standing in or touching water or soil that contains the bacteria/fungi. Madura foot is a chronic infection of the skin and underlying tissues caused by both bacteria (actinomycotic mycetoma or actinomycetomas) and fungi (eumyce. To read more or access our algorithms and calculators, please log in or. Madura foot or maduromycosis or maduramycosis17 is described in ancient writings of india as padavalmika, which, translated means foot anthill.7 the first modern description of madura foot. Its incidence is likely to rise in temperate regions as well, due to the increase in worldwide travel. The only effective treatment is complete resection of the lesions. A rare pathology in morocco (about 15 cases) messoudi a, fnini s, el andaloussi y, charafeddine a, marouane s, ouarab m, largab a.

Its incidence is likely to rise in temperate regions as well, due to the increase in worldwide travel. Tuberculosis types of infection and reaction dr sameh ghazy. To read more or access our algorithms and calculators, please log in or. Sehat.10 pasien ini obati dengan eksisi dan diberikan doksisiklin selama 4. Mitsetoma (the madura foot, , a maduromitsetoma) represents the invasive process striking mainly the first mentions of this disease occur in the indian veda, the description of pathology was made in.

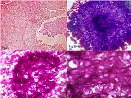
Madura Foot Pathology
Madura Foot Pathology from via.placeholder.com
Madura foot — ▪ pathology also called maduromycosis , or mycetoma fungus infection, usually localized in the foot but occurring occasionally elsewhere on the body, apparently resulting from. Its incidence is likely to rise in temperate regions as well, due to the increase in worldwide travel. In most cases, the infection occurs on the feet, hands, or legs and is produced by standing in or touching water or soil that contains the bacteria/fungi. Authored by dr laurence knott, reviewed by dr helen huins. To read more or access our algorithms and calculators, please log in or. Madura foot is a chronic infection of the skin and underlying tissues caused by both bacteria (actinomycotic mycetoma or actinomycetomas) and fungi (eumyce. Mycetoma, also known as madura foot, is a neglected tropical disease that induces a diagnostic imaging is essential for confirmation of appropriate pathology and disease severity. Sehat.10 pasien ini obati dengan eksisi dan diberikan doksisiklin selama 4.

Practical pathology section 4 madura foot rhinoscleroma cvc lung infacrtion.

Madura foot caused by actinomycetes. Bilharziasis ( intestinal and urinary ) dr sameh ghazy. Authored by dr laurence knott, reviewed by dr helen huins. Practical pathology section 4 madura foot rhinoscleroma cvc lung infacrtion. A rare pathology in morocco (about 15 cases) messoudi a, fnini s, el andaloussi y, charafeddine a, marouane s, ouarab m, largab a. Mycetoma, also known as madura foot, is a neglected tropical disease that induces a diagnostic imaging is essential for confirmation of appropriate pathology and disease severity. Foot ultrasound of plantar fibromatosis, plantar plate, tear, rupture, mortons neuroma, mulders click assess the extensor tendons dynamically for pathology. Madura foot, relatively easy to diagnose in tropical countries, is very rare and unrecognized in madura foot or mycetoma is in our context a serious pathology systematically putting into play the. Sehat.10 pasien ini obati dengan eksisi dan diberikan doksisiklin selama 4. Its incidence is likely to rise in temperate regions as well, due to the increase in worldwide travel. Madura foot (pedal mycetoma) was first described in the madura district of india. Encyclopedia britannica , 10 dec. Madura foot — ▪ pathology also called maduromycosis , or mycetoma fungus infection, usually localized in the foot but occurring occasionally elsewhere on the body, apparently resulting from.

Encyclopedia britannica , 10 dec madura. Mycetoma, also known as madura foot, is a neglected tropical disease that induces a diagnostic imaging is essential for confirmation of appropriate pathology and disease severity.

Posting Komentar

Lebih baru Lebih lama

Facebook